Analisi della Cute ,Mento e modelli del Viso in Morfopsicologia

Analisi della Cute ,Mento e modelli del Viso in Morfopsicologia

di Bartolomeo Valentino*

 

 

 

 

 

 

RICETTORE CUTE

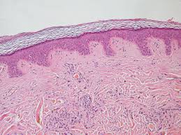
La cute o pelle è formata, istologicamente, da un insieme di strutture molto complesse. Come per gli altri ricettori esaminati  è da considerarsi una finestra molto ampia aperta al mondo esterno. Basta ricordare che sulla cute sono localizzati una serie di recettori nervosi i quali hanno il compito di recepire ogni tipo di stimolazione : dal freddo al caldo, dal tatto al dolore. Si può, pertanto, ben comprendere l’importanza di tali recettori anche ai fini di autodifesa e, dunque, sopravvivenza della specie. Non a caso ,  il tatto ,  è una  funzione fondamentale per i non vedenti utile all’orientamento e alla difesa.

Nella cute si distingue una parte superficiale ,detta epidermide, formata da cellule epiteliali e una parte più profonda, detta derma, che è formata dal tessuto connettivale (una sorta di tessuto di sostegno) .La cute ci interessa  proprio per il derma formato da fibre connettivali che possono assumere varie direzioni.

Le rughe altro non sono che un accartocciamento del derma.

Normalmente possono comparire ad una certa età e costituire un segno di ritrazione o di dilatazione a secondo del loro orientamento: ci riferiamo a quelle frontali.

 

1-Rughe orizzontali e continue.

Sono segno di dilatazione , per cui la personalità corrispondente fa registrare senso di apertura verso gli altri , attitudini alla ricerca ,  pragmatismo.

2-Rughe orizzontali ,ma tagliate nella parte centrale.

Possono corrispondere ad una personalità debole e negligente, ad una sorta di resa verso gli avvenimenti esterni che possono essere subiti.

3-Rughe verticali . Sono considerate un segno di ritrazione:

dunque con aspetti della personalità opposti a quelli delle rughe orizzontali.

Sono soggetti dotati di capacità riflessiva , grandi lavoratori , con notevole energia.

FORMA DEL MENTO

 

Anche la forma del mento è molto studiata per definire aspetti della personalità e  va considerata insieme ad altri elementi del viso.

A livello anatomico, la forma del mento è data praticamente dalla mandibola .

a-Mento largo e prominente: esprime grande forza, ,sicurezza ed amore per una vita piuttosto libera.

b-Mento piccolo ed ovale: denota personalità molto esigenti, che amano stabilire rapporti profondi.

 

 

 I PRINCIPALI  MODELLI  DI  VISO

 

1- Viso quadrato . Nella personalità è presente materialismo, forza , testardaggine.

2 Viso ovale. Appartiene a personalità instabili, molto sensibili , deboli e  con tendenza al misticismo.

3- Viso triangolare a base superiore . Si riscontra prevalente attività cerebrale, instabilità, buona capacità di analisi.

4- Viso triangolare a base inferiore. Appartiene a personalità con poca immaginazione , tendenti al materialismo.

 

 Volto che seduce

 

Quali tratti somatici devono possedere donne e uomini per essere considerati seducenti?

Per le donne si ipotizza una combinazione di tratti infantili, presenza del cosiddetto “baby-schema” e tratti di maturità.

Il baby-schema presuppone la presenza di occhi grandi, naso piccolo e all’insù, bocca carnosa. I tratti maturi sono ,invece, gli zigomi alti e guance più raffinate. La contemporanea presenza degli elementi di cui sopra, costituiscono un segno di giovinezza e fertilità. Il maschio seducente ,a sua volta,dovrebbe presentare una maggiore lunghezza del volto, guance e zigomi alti. Anche per il maschio la presenza di questi elementi morfologici stanno a significare che il periodo adolescenziale ormai è superato con conseguente equilibrio ormonale e, dunque,f ertilità. Pertanto, ci sarebbe un rapporto stretto tra bellezza fisica e logica sessuale-riproduttiva.

*Direttore Responsabile del Giornale

§§§§§§§§§§§§§§§§§§§§§§§§§§§§§§§§§§§§§§§§§§§§§§§§§§§§§§§§§§§§§§§§§§§§§§§§§§§§§§§§§§§§§§§§§§§§§§§§§§§§§§§§§§§§§§§§§§§§§§§§§§§§§§§§§§§§§§§§§§§§§§§§§§§§§§§§§§§§§§§§§§§§§§§§§§§§§§§§§§§§§§§§§§§§§§§§§§§§§§§§§§§§§§§§§§§§§§§§§§§§§§§§§§§§§§§§§§§§§§§§§§§§§§§§