08 Ott Deglutizione disfunzionale: importanza di una collaborazione multidisciplinare
di Giancarlo de Felice* e Sabina Iozzino**




Il passaggio dalla deglutizione infantile a quella adulta è un processo complesso che si manifesta con la comparsa dei denti e il cambiamento delle abitudini alimentari durante lo svezzamento. Nella deglutizione infantile, la forza di suzione è creata principalmente dalle labbra, mentre la lingua rimane in basso e in avanti. Con la deglutizione adulta, invece, la lingua assume il ruolo principale, spingendo con l’apice contro il palato duro per facilitare l’atto deglutitorio.
Quando questo passaggio non avviene correttamente, si parla di deglutizione disfunzionale. Le cause possono essere molteplici, tra cui l’uso prolungato di biberon e ciucci, ritardi nello svezzamento, o abitudini viziate come succhiare il pollice o rosicchiare oggetti. A volte, il problema è legato anche a una respirazione orale, spesso dovuta all’ipertrofia delle adenoidi.
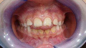
La deglutizione disfunzionale si manifesta con segni evidenti, come l’alterazione della postura della lingua, che spinge contro gli incisivi a riposo o durante la deglutizione. Questo può causare alterazioni nel parlato e, in molti casi, rientra in un quadro più ampio chiamato Squilibrio Muscolare Oro-Facciale (SMOF).
Il ruolo cruciale dell’ortodontista e del logopedista
Per una diagnosi e un trattamento efficaci della deglutizione disfunzionale, è fondamentale la collaborazione tra logopedista e l’ortodontista.
Questi due professionisti lavorano insieme per affrontare sia la causa funzionale che le conseguenze strutturali del disturbo.
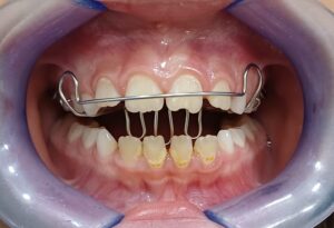
- L’Ortodontista: corregge la struttura, è il primo a riconoscere i segni di una deglutizione disfunzionale. La pressione costante della lingua può causare gravi malocclusioni, come il morso aperto anteriore , dove gli incisivi non si toccano, o influenzare lo sviluppo delle ossa mascellari. L’ortodontista corregge questi problemi utilizzando apparecchi che riposizionano i denti e guidano la crescita delle arcate dentali, creando l’ambiente anatomico ideale per una corretta deglutizione.
- Il Logopedista: rieduca la funzione, è l’esperto che si occupa della rieducazione delle funzioni orali. Il suo ruolo è fondamentale per ripristinare il corretto funzionamento dei muscoli orofacciali e insegnare al paziente come posizionare la lingua in modo corretto durante la deglutizione. Questo tipo di intervento, noto come terapia miofunzionale, è un processo attivo che coinvolge il paziente in esercizi specifici e nella consapevolezza delle proprie abitudini scorrette.
L’importanza della collaborazione e il successo a lungo termine del trattamento dipende dalla sinergia tra i due specialisti. L’ortodonzia da sola può correggere la malocclusione, ma se la causa funzionale non viene risolta persisterà la deglutizione disfunzionale.
Viceversa, la terapia miofunzionale è più efficace e veloce quando l’ortodontista ha già creato le condizioni strutturali ideali.
Spesso il percorso terapeutico segue una logica sequenziale, iniziando con un intervento logopedico per impostare una deglutizione corretta, seguito dall’ortodonzia per correggere le alterazioni strutturali e, infine, una fase di mantenimento logopedico per consolidare il nuovo schema motorio. Questa collaborazione non solo riduce i tempi di trattamento e aumenta le possibilità di successo, ma previene anche le recidive, garantendo al bambino uno sviluppo armonico e una salute orale duratura.
*Odontoiatra
**Logopedista
- §§§§§§§§§§§§§§§§§§§§§§§§§§§§§§§§§§§§§§§§§§§§§§§§§§§§§§§§§§§§§§§§§§§§§§§§§§§§§§§§§§§§§§§§§§§§§§§§§§§§§§§§§§§§§§§§§§§§§§§§§§§§§§§§§§§§§§§§§§§§§§§§§§§§§§§§§§§§§§§§§§§§§§§§§§§§§§§§§§§§§§§§§§§§§§§§§§§§§§§§§§§§§§§§§§§§§§§§§§§§§§§§§§§§§§§§§§§§§§
